Privește-te în oglindă? Cum arată dinții tăi? Sunt așa strălucitori cum îți dorești?
Stai liniștit, marea majoritate a oamenilor au obiceiuri alimentare care pătează dinții și îi fac să fie mai galbeni decât și-ar fi dorit. Dar soluția la această problemă este mai aproape de tine decât crezi!
Procedura nu este dureroasă și îți va lua mai puțin timp decât crezi, iar rezultatele sunt de durată!
Mai multe imagini cu albiri dentare profesionale realizate în cabinet, găsiți mai jos:
Previous
Next
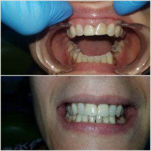
Lucrari din ceramica
Una dintre cele mai populare alegeri când vine vorba de restaurări totale sau parțiale ale danturii sunt lucrările de ceramică. Este un material superior, cu o estetică deosebită și rezistență notabilă.
Extrem de rezistentă, ceramica dentara nu se fisurează de la diferențele de temperatură ale băuturilor reci sau calde, au aspect natural și optimizeză funcția masticatorie.
Mai multe imagini cu lucrări din ceramică, găsiți mai jos:
Previous
Next
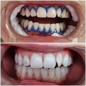
Lucrari din zirconiu
Zâmbetul tău poate fi restaurat printr-o lucrare protetică de zirconiu, extrem de durabilă. Lucrarea de zirconiu este una dintre cele mai apreciate pentru că redau o funcție masticatorie optimă, sunt naturali datorită transludicității sale și este biocompatibil, nu produce nicio reacție alergică.
Mai multe imagini cu lucrări din zirconiu, găsiți mai jos: